https://tecscience.tec.mx/en/science-communication/nanotechnology-for-treating-obesity/
By Omar Lozano-García and Helen Y. Lorenzo-Anota
Currently, there are more than 2 billion people with obesity worldwide, and Mexico holds fifth place for the highest prevalence of obesity. The National Health Survey showed that 75.2% of adults are overweight or obese. These alarming statistics suggest that nearly 40% of Mexican adults will be diagnosed with obesity problems by 2030. What’s more, our country ranks first in the world for childhood obesity. This means that at least one child in 20 under the age of five is overweight or obese. The number rises to one in three children between the ages of six and 19. This high prevalence has serious economic implications, since it is estimated that the (health, economic, and social) consequences of suffering from obesity in Mexico represent 5% of GDP (Gross Domestic Product).
Obesity is an excessive accumulation of body fat calculated according to an individual’s weight to height ratio. Its main impact is that it increases the likelihood of developing other more deadly diseases, such as type 2 diabetes mellitus, cardiovascular disease, metabolic syndrome, hypertension, non-alcoholic fatty liver disease, a wide variety of cancers, and depression (Lin & Li, 2021; Redinger, 2007).
In order to prevent its progression, it’s important to first understand the physiological changes accompanying accumulation of body fat in obese patients.
Adipose tissue: body fat storage
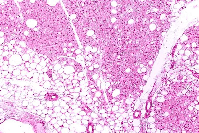
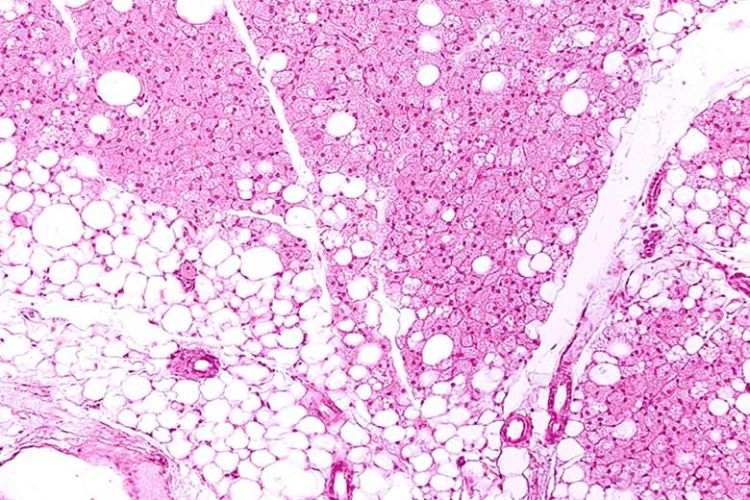
Under healthy conditions, body fat is stored as adipose tissue, accumulated in regions such as the abdominal area, back, legs, and face. 80 to 90% of this tissue is composed of adipocytes, cells that are highly specialized in fat storage. Depending on their morphological and biochemical characteristics, they can be distinguished into three specific subtypes: white, beige, and brown (Hadi et al., 2019; González Jiménez, 2013; Mayoral et al., 2020). Their main function includes reserving fat for energy and producing molecules that regulate other functions such as hunger and the immune system.
Under unhealthy conditions such as obesity, adipose tissue fails to function correctly and disruptions in adipocytes occur, such as increased size, increased inflammation, and decreased sensitivity to the hormone that regulates blood glucose levels (insulin). All these changes suggest that adipose tissue is the ideal target for innovative treatments to combat obesity.
The urgent need to create treatments for obesity
The main strategies for reducing body fat include changing daily habits, healthy eating, and physical activity. The United States Food and Drug Administration (FDA) has also approved the use of medications and devices, as well as bariatric surgery, to promote the loss of body fat in obese patients. However, the vast majority are limited by their lack of specificity, increasing the risk of developing tumors, and the unsustainability of long-term or rebound effects, added to the extravagant cost to patients (Khera et al., 2016). Therefore, there is an urgent need for novel and improved approaches for the treatment of obesity.
One of these routes includes strategies selectively aimed at adipose tissue, which are able to restore the original function of adipocytes. Recent treatments such as semaglutide have had very encouraging results for patients with obesity, who have lost around 10% of their body weight. However, it has several drawbacks, including accentuated side effects, the need to continually take the medication to maintain results, and its current high cost.
Nanotechnological advances
In recent decades, nanotechnology has offered novel approaches to healthcare. This consists of systems whose dimensions are approximately 100 nanometers (1,000 times smaller than the width of a human hair), such as nanoparticles (NPs) for targeted drug delivery to specific tissues or organs to release the drug in a controlled and continuous manner, reducing dosage and dose frequency, coupled with a reduction in side effects. These systems can be designed to travel through the bloodstream and reach target tissues or organs, such as adipose tissue, to deliver the drug.
In recent years, they have been used to treat obesity by acting on adipocytes. Here are some examples:
- Researchers have used gold NPs, some loaded with extracts of medicinal plants such as green tea, to achieve adipocyte shrinkage (Simu et al., 2018; Akter et al., 2022) and a decrease in levels of inflammation, glucose, and blood lipids in obese mice, in addition to encouraging weight loss (Chen et al., 2018; Lei Gao et al., 2020).
- Liposomes, NPs based on phospholipids (structures similar to cell membranes), have also been explored as anti-obesity drug delivery systems: the delivery of weight-loss-promoting peptides to obese mice lowers blood lipids and prevents insulin resistance (Jiang et al., 2017); the delivery of compounds produced in the body such as anti-inflammatory cytokines reduces inflammation (Toita et al., 2016); and the delivery of L-carnitine favors lipid metabolism (Yaşacan et al., 2020).
- Polymeric NPs, which are based on biodegradable and biocompatible polymers, have been used successfully for the controlled and sustained release of anti-obesity drugs: the delivery of medicinal plant extracts or quercetin (the antioxidant most common in fruits and vegetables) favored weight loss in obese mice (Abu et al., 2013, Ahmed et al., 2021), enhancing the anti-obesogenic effect of plant extracts. Similarly, the delivery of drugs for other types of diseases such as rosiglitazone (which is used in diabetes) or dibenzazepine (which is used as an antidepressant) has reduced adipose tissue inflammation and prevents the formation of new adipose tissue in obese mice, improving their glucose management and attenuating body weight gain in mice (Di Mascolo et al., 2013, Jiang et al., 2017).
Currently, the Institute for Obesity Research at Tecnológico de Monterrey is looking for solutions to this disease. One of its research projects aims to develop new formulations against early childhood obesity. This project is based on identifying novel compounds for the treatment of obesity and delivering them via biodegradable and biocompatible NPs, through strategies that target adipose tissue in order to deliver drugs in a controlled and sustained manner that help reduce this condition.
Hope from nanotechnology
The fight for the prevention and treatment of obesity is a global emergency. As of today, its limitations are the serious side effects and low long-term effectiveness.
The implementation of nanotechnology in the treatment of obesity offers opportunities that promote weight loss and prevent metabolic disorders in patients.
References
Ahmed, H. H., Kotob, S. E., Abd-Rabou, A. A., Aglan, H. A., Elmegeed, G. A., & Mohawed, O. A. (2021). Pre-Clinical Evidence for the Anti-Obesity Potential of Quercetin and Curcumin Loaded Chitosan/PEG Blended PLGA Nanoparticles. Biomedical and Pharmacology Journal, 14(4), 1731-1759. https://doi.org/10.13005/bpj/2274
Akbarzadeh, A., Rezaei-Sadabady, R., Davaran, S., Joo, S. W., Zarghami, N., Hanifehpour, Y., Samiei, M., Kouhi, M., & Nejati-Koshki, K. (2013). Liposome: Classification, preparation, and applications. Nanoscale Research Letters, 8(1). https://doi.org/10.1186/1556-276X-8-102
Akter, R., Ling, L., Rupa, E. J., Kyupark, J., Mathiyalagan, R., Nahar, J., Won, L. J., Hyun, K., Murugesan, M., Yang, D. C., Kang, S. C., & Kwak, G. Y. (2022). Binary Effects of Gynostemma Gold Nanoparticles on Obesity and Inflammation via Downregulation of PPARγ/CEPBα and TNF-α Gene Expression. Molecules, 27(9). https://doi.org/10.3390/molecules27092795
Chen, H., Ng, J. P. M., Tan, Y., McGrath, K., Bishop, D. P., Oliver, B., Chan, Y. L., Cortie, M. B., Milthorpe, B. K., & Valenzuela, S. M. (2018). Gold nanoparticles improve metabolic profile of mice fed a high-fat diet. Journal of Nanobiotechnology, 16(1). https://doi.org/10.1186/s12951-018-0338-1
di Mascolo, D., Lyon, C. J., Aryal, S., Ramirez, M. R., Wang, J., Candeloro, P., Guindani, M., Hsueh, W. A., & Decuzzi, P. (2013). Rosiglitazone-loaded nanospheres for modulating macrophage-specific inflammation in obesity. Journal of Controlled Release, 170(3), 460-468. https://doi.org/10.1016/j.jconrel.2013.06.012
el Hadi, H., di Vincenzo, A., Vettor, R., & Rossato, M. (2019). Food ingredients involved in white-to-brown adipose tissue conversion and in calorie burning. In Frontiers in Physiology (Vol. 10, Issue JAN). Frontiers Media S.A. https://doi.org/10.3389/fphys.2018.01954
González Jiménez, E. (2013). Obesity: Etiologic and pathophysiological analysis. Endocrinología y Nutrición (English Edition), 60(1), 17-24. https://doi.org/10.1016/j.endoen.2013.01.005
Jiang, C., Cano-Vega, M. A., Yue, F., Kuang, L., Narayanan, N., Uzunalli, G., Merkel, M. P., Kuang, S., & Deng, M. (2017). Dibenzazepine-Loaded Nanoparticles Induce Local Browning of White Adipose Tissue to Counteract Obesity. Molecular Therapy, 25(7), 1718-1729. https://doi.org/10.1016/j.ymthe.2017.05.020
Khera, R., Murad, M. H., Chandar, A. K., Dulai, P. S., Wang, Z., Prokop, L. J., Loomba, R., Camilleri, M., & Singh, S. (2016). Association of pharmacological treatments for obesity with weight loss and adverse events a systematic review and meta-analysis. JAMA – Journal of the American Medical Association, 315(22), 2424-2434. https://doi.org/10.1001/jama.2016.7602
Lei Gao, Yangxi Hu, Desheng Hu, Ying Li, Songpeng Yang, Xing Dong, Sulaiman Ali Alharbi, & Hansong Liu. (2020). Anti-Obesity activity of gold nanoparticles synthesized from Salacia Chinensis modulates the Biochemical alterations in high-fat diet- induced obese rat model via AMPK signaling pathway. Arabian Journal of Chemistry, 13, 6589-6597.
Lin, X., & Li, H. (2021). Obesity: Epidemiology, Pathophysiology, and Therapeutics. In Frontiers in Endocrinology (Vol. 12). Frontiers Media S.A. https://doi.org/10.3389/fendo.2021.706978
Mayoral, L. P. C., Andrade, G. M., Mayoral, E. P. C., Huerta, T. H., Canseco, S. P., Rodal Canales, F. J., Cabrera-Fuentes, H. A., Cruz, M. M., Pérez Santiago, A. D., Alpuche, J. J., Zenteno, E., Ruíz, H. M., Cruz, R. M., Jeronimo, J. H., & Perez-Campos, E. (2020). Obesity subtypes, related biomarkers & heterogeneity. In The Indian journal of medical research (Vol. 151, Issue 1, pp. 11–21). NLM (Medline). https://doi.org/10.4103/ijmr.IJMR_1768_17
Redinger, R. (2007). The Pathophysiology of Obesity and Its Clinical Manifestations. In Gastroenterology & Hepatology (Vol. 3, Issue 11).
Simu, S. Y., Ahn, S., Castro-Aceituno, V., Singh, P., Mathiyalagan, R., Jiménez-Pérez, Z. E., Hurh, J., Oi, L. Z., Hun, N. J., Kim, Y.-J., & Yang, D.-C. (2018). Gold Nanoparticles Synthesized with Fresh Panax ginseng Leaf Extract Suppress Adipogenesis by Downregulating PPAR γ /CEBP α Signaling in 3T3-L1 Mature Adipocytes . Journal of Nanoscience and Nanotechnology, 19(2), 701-708. https://doi.org/10.1166/jnn.2019.15753
Toita, R., Kawano, T., Murata, M., & Kang, J. H. (2016). Anti-obesity and anti-inflammatory effects of macrophage-targeted interleukin-10-conjugated liposomes in obese mice. Biomaterials, 110, 81-88. https://doi.org/10.1016/j.biomaterials.2016.09.018
Yaşacan, M., Erikçi, A., Eylem, C. C., Çiftçi, S. Y., Nemutlu, E., Ulubayram, K., & Eroğlu, İ. (2020). Polymeric Nanoparticle Versus Liposome Formulations: Comparative Physicochemical and Metabolomic Studies as l-Carnitine Delivery Systems. AAPS PharmSciTech, 21(8). https://doi.org/10.1208/s12249-020-01852-4
Are you interested in science?
TecScience, a new way to communicate scientific research. Visit: https://tecscience.tec.mx/en/










